TAC dental CBCT
Desde la apertura de la clínica, hace 25 años, nos hemos caracterizado por invertir en tecnología siendo además pioneros en odontología digital.
Tac dental o CBCT Portugalete
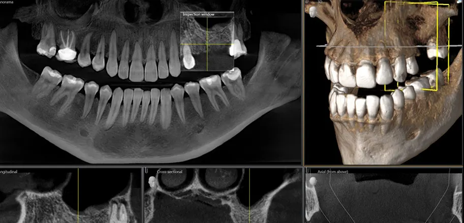
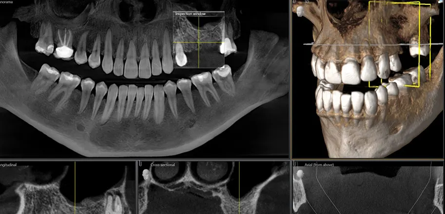
Disponemos de un equipo de CBCT, que es un equipo de Tomografía computarizada de haz cónico (Cone Beam Computed Tomography o CBCT), también conocido como TAC dental.
Es un tipo de prueba diagnóstica que realizamos cuando las radiografías orales no son suficientes para determinar un tratamiento dental. Lo utilizamos en la planificación tratamientos de implantología, endodoncia, prótesis, ortodoncia, y otros muchos casos dónde esta prueba diagnóstica está indicada.
El CBCT nos permite dar un diagnóstico más preciso y en menor tiempo, proporcionándonos imágenes en 3D de la boca del paciente.
Usos del TAC dental o CBCT
En la Clínica Dental Garaizar utilizamos el CBCT para los siguientes propósitos:Endodoncias
Falta de piezas dentales
Implantes
Planificación de implantes dentales para cirugía guiada.
Diagnóstico diferencial
Un aliado digital: imágenes y trazados cefalométricos en segundos
El CBCT nos ayuda también en el diagnóstico de la lesiones quísticas, endodónticas, fracturas dentales, aumentos óseos, etc. Para complementar el CBCT, disponemos de equipo de radiografía panorámica y un equipo de radiología intraoral con radiovisografía. Por supuesto, todo ello digital.
El módulo de exploración cefalométrica nos permite ejecutar exámenes cefalométricos de alta calidad en cuestión de segundos. Gracias a este sistema, combinamos una exploracion intraoral con una exploración facial y una exploración CBCT en la misma imagen, una planificación perfecta para prótesis e implantes.


